颅脑CT与MR:手把手教你如何精准“颅脑影像读片”,在医学影像领域,颅脑CT与MR是两种重要的诊断工具,本文将为您详细介绍如何进行颅脑影像读片,了解颅脑的基本结构与常见疾病是读片的基础,掌握CT与MR的成像原理及各自优势,能更准确地判断病变部位及性质,我们将手把手教您从影像中识别异常信号、分析病变范围及严重程度,结合患者病史及临床表现,综合分析,为临床诊断提供有力依据,通过本文的指导,相信您能更轻松地掌握颅脑影像读片技巧,为患者提供更准确的诊断。

颅脑CT、MR 手把手教你颅脑影像读片
颅脑CT、MR全方位分析
颅脑结构非常复杂,导致许多年轻医生和临床医生害怕对颅脑图像的准确解读。
影像学检查是临床医生诊断颅脑疾病的重要帮手,掌握看图说话的技巧对临床工作有很大帮助。
非专业临床医生如何快速掌握颅脑影像的阅读技巧?如何解决神经科医生经常遇到的阅读问题?
本课程从影像学的基础出发,从颅脑外伤、脑血管疾病、颅内肿瘤等常见颅脑病变出发,带您逐步了解颅脑影像的诊断要点和鉴别诊断。让你从入门到精通,掌握颅脑影像的阅读技巧。
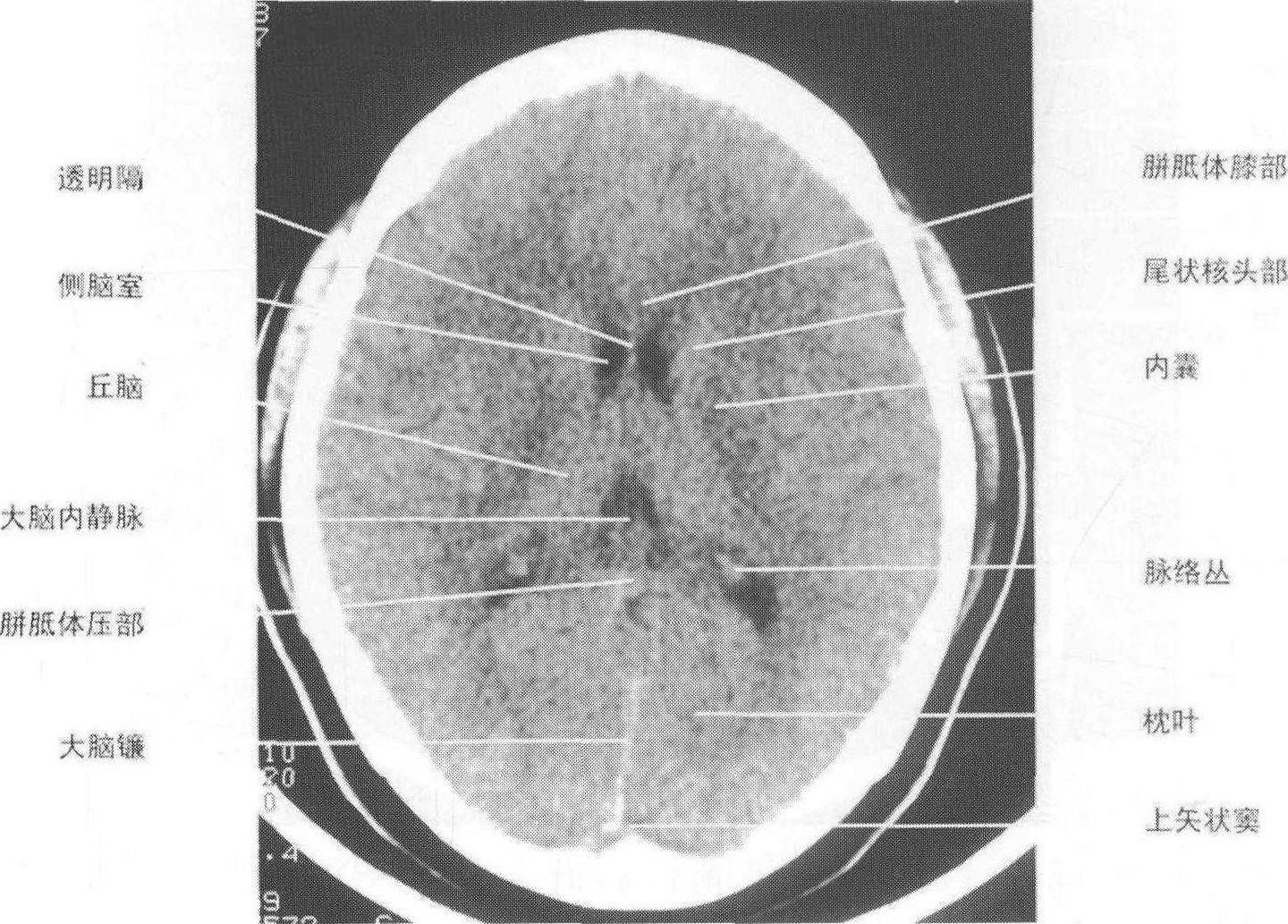
颅脑影像学基础
颅脑正常影像学表现(上)
颅脑正常影像学表现(下)
缺血性脑卒中的图像读片(上)
缺血性脑卒中的图像读片(下)
脑出血影像学表现(上)
脑出血影像学表现(下)
颅脑肿瘤的影像学识别(上)
颅脑肿瘤的影像学识别(下)

